Jackie Ryan's Thesis
Optimized Genomic DNA Isolation
Optimized Microarray Experimental Conditions

Eliminate False Positive Spots

Validate Method on Sir2 Deletion Strain
wt = green : ΔSir2 = red

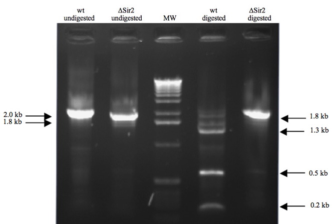
PCR Verification of Deletion

Genomics
lab course is testing evolved yeast strains grown
under glucose-limiting conditions that induce aneuploidy.
Biology
Department
© Copyright 2006 Department of Biology, Davidson College,
Davidson, NC 28036
Send comments, questions, and suggestions to: macampbell@davidson.edu