Dr. Karmella Haynes and Samantha Simpson ('09) Continued Flipping
Convert Constructs to Numerical Symbols |
|
![]() |
![]() |
Flippable Promoter (1) or (-1) |
Flippable Tetracycline resistance
(2) or (-2) |
Unexpected Problems = opportunities to learn more
Position Matters for RBS

It Flips Too Fast!


Needed Two Plasmids to Reduce Hin Production; Remove RE
![]() |
Pancakes in pSB1A7 |
![]() |
Hin in pSB3K3 |
Test Predictions with Biological Reality
Needed Insulated Plasmid

Biological Equivalents
(1, 2) = (-2, -1)
Distinguish 1,2 from -2, -1

pBad is a Weak Promoter

pLac Promoter and Tetr Reveal Secrets
![]() |
![]() |
White Colonies Live on Tet Plates |
Faint Pink Colonies Live on Tet
Plates |
![]() |
![]() |
Cells Die |
Red Colonies Live on Tet Plates |
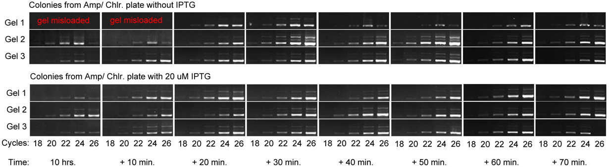
4 PCR Primers Detect 4 Possible Orientations


4 PCR Primers to Detect 4 Possible Combinations

Screen Colonies for Flipping Order

One Flip Before Two Flips, No Size Preference
![]() |
![]() |
Hin Can Flip (-2, 1) to (-1, 2)
![]() |
|
White Light |
UV Light |
Cross-trained students in biology and math/CS
Understand: Promoters, Reporter Strengths, Critical Parts, and System Behavior
Successfully built biological computer
Produce better transgenic organisms?
Biological digital data storage (0's and 1's) device?
Massively parallel computation as cheap as an undercooked hamburger!