Pancreatic beta cell infection by IDDM


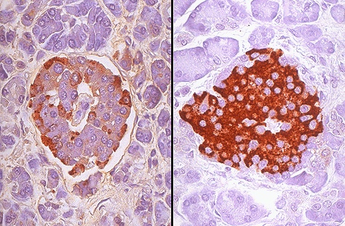
                                        A normal pancreatic islet of Langerhans with stains for both beta cells (left), and alpha
                                        cells (right) (Chase 1999).
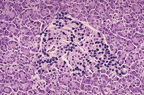
                                        A diseased Langerhan cell exhibiting insulitis.  The black dots are lymphocytes that have
                                        invaded the lysed cell (Chase 1999).


Go to Immunology Main Page
Go to Davidson Home Page


"This web page was produced as an assignment for an undergraduate course at Davidson College."
mailto:  schutchins@davidson.edu