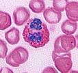
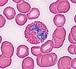
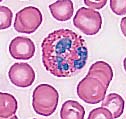
Examples of Eosinophils

Return To Cartoon of White Blood Cells

Return To Hyperlinked Human Histology


Hyperlinked Histology © 1999 by

A. Malcolm Campbell

Immunology Main Page

Biology Main Page