NATURE VOL 351 9 MAY 1991
ARTICLES


Male development of chromosomally female mice transgenic for Sry

Peter Koopman, John Gubbay, Nigel Vivian, Peter Goodfellow* & Robin Lovell-Badget#

Laboratory of Eukaryotic Molecular Genetics, MRC National Institute for Medical Research, The Ridgeway, Mill Hill, London NW7 1AA, UK
* Human Molecular Genetics Laboratory, Imperial Cancer Research Fund, PO Box 123, Lincoin's Inn Fields, London WC2A 3PX, UK
# To whom correspondence should be addressed


The initiation of male development in mammals requires one or more genes on the Y chromosome. A recently isolated gene, termed SRY in humans and Sry in mouse, has many of the genetic and biological properties expected of a Y-located testis-determining gene. It is now shown that Sry on a 14-kilobase genomic DNA fragment is sufficient to induce testis differentiation and subsequent male development when introduced into chromosomally female mouse embryos.


THE processes of morphogenesis and cellular differentiation are dependent on the activity of sets of genes in complex interacting networks or pathways. Within these pathways, specific genes may be rate-limiting or act as a switch, such that their activity seems to cause a developmental event. One case where this occurs is in sex determination, where the pathways of gene activity that lead to male or female development must include a switch mechanism to determine which pathway is chosen1,2. In mammals, the Y chromosome acts as a dominant male determinant3-5as it carries a gene or genes with a critical role in the male pathway. The central event in mammalian sex determination is the differentiation of testes rather than ovaries from the indifferent gonad (genital ridge)6,7. All other differences between the sexes in eutherian mammals are secondary effects due to hormones or factors produced by the gonads. For this reason, sex determination is equivalent to testis determination, and the Y-chromosomal gene(s) responsible has been named Tdy (testis-determining gene on the Y) in mice, and TDF (testis-determining factor) in humans.

By exploiting detailed maps of the sex-determining region of the human Y chromosome, we cloned the gene SRY and its mouse equivalent Sry8,9. These genes are located in the smallest regions of the human and mouse Y chromosomes known to be male-determining, and conserved homologues have been found on the Y chromosomes of all other eutherian mammals tested. Furthermore, Sry is deleted from a mouse Y chromosome with a mutant Tdy9-11. As might be predicted for a regulatory gene, SRY /Sry encodes a protein containing a DNA-binding motif8,9. Sry also shows a pattern of expression in the mouse entirely consistent with a role in testis determination, being expressed for a short period from about 10.5-12 days post coitum (d.p.c.) just before overt testis differentiation, specifically in the somatic cells of the genital ridge12.

Direct evidence that SRY/Sry has a role in testis formation was obtained from the analysis of the genomes of XY females with gonadal dysgenesis. In two cases, sex-reversed XY daughters were found to have mutations in SRY that were not present in their fathers13,14 This correlation between de novo mutation in SRY and sex reversal implies that SRY/Sry is required for normal testis formation, but the experiments do not address whether it alone is equivalent to the genetically defined factor TDF /Tdy.

The best way to test the function of SRY /Sry is to introduce it into XX embryos, and to see if they develop as males. The pattern of Sry expression during fetal gonad development in the mouse suggests that precise regulation of the gene may be critical for its action12. We therefore introduced murine Sry or human SRY as part of a genomic fragment, in the expectation that this would provide the correct regulatory sequences. Although the human gene does not seem to function in mice, mouse Sry in a 14-kilobase (kb) genomic fragment gives rise to normal testis development in chromosomally female transgenic mice, as can be seen at both embryonic and adult stages.

FIG. 1 Genomic DNA frragments used for microinjection.
Restriction maps of mouse Sry fragment 741 (ref. 9) and human SRY fragment A (isolated from the cosmid cAMF; ref. 29). Restriction-endonuclease sites: B. BamH I; E, EcoR I; H. Hind III and S. Sal I. Fragment sizes are indicated in kb. The conserved Sry/SRY open reading frame is indicated by a pink box. The direction of the open reading frame is shown above the two clones. The position of the human pseudoautosomal boundary is indicated, the pseudoautosomal region being to the right of this point. The positions of oligonucleotide primers used for PCR analysis (described in the legends to Figs 3 and 5) are indicated by triangles.
METHODS. SRY - or Sry -containing fragments were released from cosmid or phage vectors by digestion with appropriate restriction enzymes and then isolated by agarose gel electrophoresis and further purified by one of three methods: (1) Geneclean (Bio101), according to manufacturer's instructions; (2) phenol extraction, Sephadex G50 column chromatography and ethanol precipitation; (3) Geneclean followed by elutip (Schieicher & Schuell) and ethanol precipitation. Transgenic mice were produced essentially as described by Hogan et al.38. In brief, three- to five-week-old (CBA x C57BL/10) F1 females were superovulated and mated to F1 stud males. The next day, boundary fertilized eggs were collected from oviducts of females showing vaginal plugs. Pronuclei were microinjected with 1-2 pl of DNA at a concentration of approximately 2 µg ml-1. The eggs were cultured overnight in M16 or T6 medium, and 2-cell embryos implanted by oviduct transfer into day-of-plug pseudopregnant recipients.


Sex reversal of transgenic mouse embryos
Fertilized eggs were microinjected with Sry gene sequences and transferred to pseudopregnant recipients, and some of the resulting embryos were analysed 14 days later rather than allowing them all to develop to term. The first visible sign of testis development from the genital ridge is the formation of testis cords at about 12.5 dpc in the mouse. This is due to the differentiation of Sertoli cells and their alignment into epithelial structures surrounding the germ cells15. Cord formation confers a characteristic striped appearance to the developing testis, distinguishing it from the fetal ovary. Other morphological changes characteristic of the testis are its rapid growth and prominent vasculature. Phenotypic sex can be rapidly assayed by examining fetuses about 14 days after oviduct transfer, when testis-cord formation is obvious even with partial sex reversal16,17. An indication of chromosomal sex was obtained by staining for sex chromatin in amnion cells18. Where necessary, this was confirmed by Southern blot analysis or the polymerase chain reaction (PCR) using a DNA probe or oligonucleotide primers derived from the Y-linked gene Zfy-1 (refs 19-21).

Injected embryos were examined 14 days after transfer. Embryos were analysed in the following way: chromosomal sex (XX or XY/XO) was determined by staining for sex chromatin in amnion cells18. Transgenesis was assayed either by Southern blot or PCR detection of Sry, and the presence or absence of a Y chromosome judged from similar assays for Zfy gene sequences. Phenotypic sex was determined by scoring for testis or ovary development. The frequency of XO progeny was consistent with previous studies35. Asterisk indicates that in four cases of XX transgenesis, comparison of the Sry signal to that of a control male indicated mosaicism for the transgene. The bold type highlights the transgenic embryos obtained. ND, not determined. Genomic DNA for Southern analysis was prepared from limbs essentially as described38. For PCR anaiysis, proteinase K digestion was performed in 1 mM EDTA, the DNA was extracted once with phenol/chloroform and a small aliquot added directly to the PCR reaction mixture. Southern analysis of EcoRI-digested DNA was performed as described by Maniatis et al.37. For Sry, blots were probed with clone 422.04 (see ref. 9) which contains the Sry conserved motif. For the Zfy genes, a 1.9-kb Hind III genomic fragment containing the region encoding the Zfy-1 zinc-finger domain11,21 was used as a probe. PCR analysis was performed as described in Fig. 3 legend.


A 14-kb fragment derived from a phage clone l741 (ref. 9), containing about 8 kb of sequence upstream and 5 kb downstream, of the putative DNA-binding domain of Sry (Fig. 1), was purified from vector sequences and used to generate transgenic mice. After injection with this fragment (subsequently referred to as f741), 158 embryos were obtained. Most of these were XY males or XX females, in roughly equal porportion (Table 1). However, in two cases testes were seen in embryos whose sex chromatin indicated an XX rather than an XY sex chromosome constitution. Southern-blot analysis showed that both of these males lacked Zfy sequences and were transgenic, with many copies of Sry (Fig. 2a). Histological examination showed that their testis-cord formation was normal and that their gonads were indistinguishable from testes of normal XY sib embryos (Fig. 2b, c).

FIG. 2 Analysis of sex-reversed transgenic embryos.
a, Southern-blot analysis of DNA from two phenotypic male embryos m7.22 and m10.2. Lack of hydridization to a probe recognizing Zfy-1 and Zfy-2 shows the absence of a Y chromosome, whereas the intensity of hybridization to the Sry probe demonstrates that they carry multiple copies of the transgene. XY male and XX female samples are included for comparison. The Zfy probe also detects Zfx and Zfa (ref. 39), providing a control for the amount of DNA in each lane.
b, Gonad morphology. Pairs of gonads, dissected from embryo m7.22 (upper panel, centre) and m10.2 (lower panel, centre), are shown between single testes (left) and ovaries (right) of nontransgenic sibs. The gonads of the transgenic embryos show the characteristic stripes associated with testis-cord formation.
c, Histology of m7.22 (upper panel) and m10.2 (lower panel) testis sections. The apparent difference in size is due to plane of section. Cord morphology was similar to that of littermates (not shown).
METHODS. Southern-blot analysis and probes are described in Table 1 legend. Gonads were photographed whole in PBS, then fixed in 4% paraformaldehyde, dehydrated in ethanol and embedded in paraffin. Sections (7 µm) were stained in haematoxylin and eosin.


From these experiments we conclude that a 14-kb genomic fragment carrying Sry sequences is sufficient to initiate testis development in mice.

To determine the frequency with which f741 gives sex reversal, all the embryos scored as females were examined for the presence of Sry sequences by PCR. Two were unequivocally identified as transgenic for Sry, and four more were probably mosaics possessing the transgene in a low proportion of cells, as only weak signals for the presence of Sry sequences were detected (Table 1). We attribute the finding that not all XX transgenics show sex reversal to such mosaicism or to position effects on Sry expression (see below).

Normal adult male phenotype
To test the adult phenotype of Sry transgenic mice some of the embryos injected with f741 were allowed to develop to term. A total of 93 animals were born (49 males and 44 females). Southern blotting showed that five of these were transgenic. Two were XY males that did not transmit the transgene and so were uninformative with respect to sex reversal.

FIG. 3 Analysis of adult sex-reversed transgenic mouse m33.13.
a, PCR analysis of genomic DNA from m33.13 (lane 3), showing Sry and control (myogenin) bands. No band corresponding to Zfy-1 was seen, demonstrating the lack of a Y chromosome; this result was confirmed by Southern blotting using Y-chromosome probes Y353B (ref. 40) and Sx1 (ref. 41) (not shown). Normal XX female and XY male littermates (33.9, lane 2 and 33.17, lane 1) are shown for comparison. M, marker bands (1,018, 510, 396, 344, 298, 220, 201, 154 and 134 base pairs).
b, External genitalia of mice 33.17 (left) and 33.13 (right).
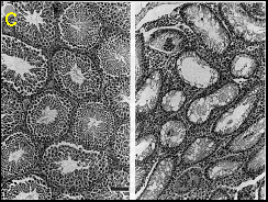
c, Histology of testis sections from mice 33.17 (left) and 33.13 (right). Bar, 90 µm.
METH0DS. For PCR analysis, 0.1 µg genomic DNA was added to a 50 µl reactien mixture containing 1.5 mM each dNTP, 50 mM Tris-HCl, pH 9, 15 mM ammonium sulphate, 7 mM MgCl2, 0.05% Nonidet P-40, 0.5U Taq polymerase (Anglian Biotec) and 500 ng each oligonucleotide primer. Amplification consisted of 30 cycles of 94° C for 5 s, 65° C for 30 s and 72° C for 30 s in a Techne PHC-2 thermocycler. An 8-µl aliquot was electrophoresed on a 2% agarose-TBE gel. Primers for Sry were (5'-3') TCATGAGACTGCCAACCACAG and CATGACCACCACCACCACCAA (indicated as brown triangles in Fig. 1) and for Zfy-1, CCTATTGCATGGACTGCAGCTTATG and GACTAGACATGTCTTAACATCTGTCC; myogenin primers corresponded to nueleotides 656-675 and 882-901 of the rat complementary DNA sequence42. PCR products were 441, 180 and 245 bp, respectively. Testes were processed for histological examination as described in Fig. 2 legend.


One of the transgenics, m33.13, had no Y chromosome as determined by PCR analysis (Fig. 3a) but was externally male (Fig. 3b). He was similar in size and weight to his normal XY male littermates. At about six weeks post partum, m33.13 was caged with females (a maximum of two per night). His copulatory behaviour was normal, mating four times in six days.

The presence of two X chromosomes in a male mouse always results in sterility, as germ cells are prevented from progressing beyond prospermatogonia. This phenomenon has been documented in XX Sxr and XX Sxr' mice which are male owing to the presence of Y-derived sequences including Tdy on one of their X chromosomes22-24. It was therefore not surprising that the sex-reversed transgenic mouse m33.13 was also sterile. None of the four females with which he mated became pregnant. In three cases the vaginal plugs were examined for the presence of sperm, but none was found (data not shown). The only difference between m33.13 and a normal XY sibling was in the size of the testes: m33.13 had a testis weight of 17 mg (in the range expected for an XX Sxr' male), as opposed to 76 mg for an XY control littermate. Histological examination of sections of the testes revealed the presence of tubules, with clearly defined and apparently normal populations of Leydig cells, peritubular myoid cells and Sertoli cells, but no cells undergoing spermatogenesis (Fig. 3c).

Internal examination of m33.13 revealed a normal male reproductive tract with no signs of hermaphroditism. This indicates that Sertoli and Leydig cells must have functioned normally in producing anti-Mullerian hormone (AMH) and testosterone, respectively. AMH is required for the elimination of the female Mullerian duct system (oviducts, uterus and upper vagina) and testosterone for the development of the Wolffian duct derivatives (vas deferens and accessory glands such as the seminal vesicles) and male secondary sexual characteristics15,25.

FIG. 4 Southern-blot analysis of offspring derived from transgenic female m32.10. As described in Fig. 2a, lack of hybridization to a probe recognizing Zfy-1 and Zfy-2 indicates the absence of a Y chromosome. Founder female m32.10 hybridizes intensely to the probe recognizing Sry demonstrating the presence of multiple copies of the transgene. The same band pattern is shown by offspring number 7. Examination of the external genitalia of this animal revealed a normal female phenotype. DNA from the male offspring 1-5 hybridizes to both Zfy and Sry probes. Three of these have multiple copies of Sry and are therefore transgenic.
METHODS Mouse m32.10 was mated with an F1 (CBA x C57BL/10) male and biopsies of the resulting offspring's tails made at 3 weeks. Genomic DNA preparation and Southern-blot analysis were as described in Table 1 legend.


A further two XX transgenics, m32.10 and m33.2, showed an external female phenotype, yet both carried many copies of Sry. These mice have produced offspring and so have functional reproductive tracts and ovaries. They also provide further evidence, along with the transgenic XX female fetuses, that f741 does not always cause sex reversal. Although there could be subtle rearrangements of the Sry gene making it non-functional, the possibility of this occurring in all these cases is remote. There are two more probable explanations. First, these females could be mosaic for the transgene, with only a small proportion of the cells making up the somatic portion of the genital ridge carrying functional Sry gene copies. Analysis of XX <--> XY chimaeras suggests that females or hermaphrodites develop if less than about 30% of cells are XY17,26,27. Secondly, the expression of the transgene could be affected by the position at which it integrates. Except for a few cases where locus-controlling regions are present, expression of transgenes almost always depends on their chromosomal location28. These two alternatives can be examined by breeding from the adult XX transgenic females. Mouse m33.2 has not yet produced transgenic offspring. However, m32.10 has transmitted the transgene to female offspring (Fig. 4), suggesting that it is not mosaic.

Human Sry does not function in mice
Mouse Sry and human SRY have a highly similar nucleotide sequence in the region encoding the putative DNA-binding domain9. However, the two domains differ in 23 of their 79 amino-acid residues, with only two of the differences being conservative. The specificity of interaction of SRY /Sry with other genes in the sex determination pathway presumably depends on the structure of this domain. That only a single amino-acid substitution can lead to failure of testicular development in an XY individual13 suggests that even a subtle alteration in the SRY protein could disrupt its action. In addition, the nucleotide sequences of the mouse and human genes diverge strikingly outside the region encoding the putative DNA-binding domain9. We therefore tested whether the human SRY gene is as effective as its murine counterpart in causing sex reversal in mice.

The DNA used for pronuclear injection was a 25-kb BamH I - Sal I fragment representing human Y chromosomal DNA around SRY, isolated from a cosmid clone cAMF (ref. 29). This fragment includes roughly 12.5 kb of Y-unique sequence upstream, and 5 kb downstream, of the SRY conserved domain. The remaining 6 kb represents sequences from the pseudoautosomal region, which is common to the X and Y chromosomes (Fig. 1).

The ability of human SRY to cause sex reversal was assessed in animals representing three independent integrations of the transgene. Two of these were lines derived from XY founder transgenics, hA6 and hA9. These founders transmitted SRY to about half of their offspring: 8 out of 17 hA6 and 13 out of 36 hA9 embryos assayed were transgenic. We analysed progeny of these lines at 14.5 d.p.c., and found no evidence of testis-cord formation in XX transgenic fetuses, demonstrating that neither of the integrations in these lines could cause sex reversal. A third integration was represented by a single XX transgenic founder embryo; this too was phenotypically female.

FIG. 5 Expression of human SRY in transgenic mouse embryos. Three male and three female embryos from each of two lines (hA9 and hA6) transgenic for SRY were analysed at 11.5 d.p.c. PCR analysis of genomic DNA (upper panel) showed that all embryos (lanes 1 - 12) were transgenic for SRY. Samples 4-6 and 10 - 12 showed bands corresponding to Zfy-1, confirming that they were XY, unlike samples 1 - 3 and 7-9 which were XX. Non-transgenic controls (non TG) are shown on the right. Oligonucleotide primers for myogenin were included in each analysis as a control. Below each lane is shown a PCR analysis of reverse-transcribed RNA extracted from the urogenital ridges of the same embryos (lower panel). Reverse transcription was performed on each RNA sample with (+) and without (-) reverse transcriptase, to demonstrate that the observed bands were due to the presence of SRY transcripts and not contaminating DNA. Bands corresponding to SRY expression were seen in samples 1-9 and 11.
METHODS. RNA was extracted from pairs of urogenital ridges and reverse transcribed in small-scale reactions as described21, using half the yield from each pair of ridges in the + and - reverse-transcriptase reactions. Genomic DNA or reverse-transcription products were added to PCR reactions and amplified as described in Fig. 3 legend. For DNA analysis, SRY primers used were (5'-3') GATCAGCAAGCAGCTGGGATACCAGTG and CTGTAGCGGTCCCGTTGCTGCGGTG (336-bp product, brown triangles in Fig. 1); for RNA analysis, CAGGAGGCACAGAAATTACAGGGCTGC and ACAGTCATCCCTGTACAACCTGTTGTCC (174-bp product; green triangles in Fig. 1) were used.


Having transgenic lines that transmit human SRY to their offspring allowed us to examine expression of the transgene in developing gonads, and in the only other known site of Sry expression, the adult testis8,12. Genital ridges were dissected from hA6 and hA9 fetuses at 11.5-12 d.p.c., when mouse Sry is expressed12. PCR analysis of RNA extracted from these samples shows that SRY transcripts were present in transgenic XX fetuses that were not sex-reversed (Fig. 5). Curiously, not all hA6 XY fetuses expressed the transgene (Fig. 5); this could be due to variation in developmental stage. The level of SRY expression in the genital ridges was estimated to be several times that of the endogenous Sry gene, and was greater than that seen in transgenic XY adult testis material (not shown).

Clearly a lack of transcription in the genital ridge cannot account for the failure of SRY to give sex reversal in mice. It is formally possible that the SRY mRNA is not correctly processed or translated. Alternatively, the protein product could be unstable in mouse cells. However, it is more likely that differences in sequence result in the human SRY protein failing to interact with other regulatory proteins or target genes in mouse cells. This hypothesis could be tested by exchanging the human and mouse open reading frames.

Discussion
The experiments described here demonstrate that a 14-kb mouse genomic DNA fragment containing Sry is sufficient to direct the formation of testes in XX transgenic embryos and subsequently to give rise to full phenotypic sex reversal in an XX transgenic adult. Complete sequencing of f741, as well as cross-hybridization experiments to human DNA, have failed to detect any gene sequences other than Sry (D. Jackson and A. Sinclair, unpublished results). Although previous data provided compelling evidence to implicate Sry in the process of testis determination, this study suggests that Sry is the only Y-linked gene required to give rise to male development, and we propose that Sry is Tdy.

The ability of a 14-kb fragment containing Sry to cause sex reversal suggests that this fragment contains the entire Sry gene, including all the regulatory elements required for appropriate embryonic expression. The transgenic system can be used to localize further these regulatory elements within the 14-kb fragment by microinjecting progressively smaller constructs. The only other site of Sry expression is in adult testis, probably in the germ-cell component12. It will be interesting to see if the 14-kb fragment f741 also contains the regulatory information required for the switch from expression in the somatic part of the embryonic gonad to expression in adult testis associated with germ cells. Our finding that the human SRY gene is expressed at both stages in transgenic mice is consistent with the appropriate regulatory sequences being present within the 25 kb of DNA containing the gene. It also indicates that the mechanisms regulating Sry/SRY expression have been conserved between humans and mice.

Although we have shown that Sry alone can promote testicular development in the absence of other Y-linked genes, sex reversal does not always occur. The most likely explanation for this is that the Sry transgene is sensitive to position effects. This variability may mirror the situation in human XX individuals carrying small portions of the Y chromosome including SRY. Palmer et al.30 described four such cases, each of whom had inherited about 35 kb of Y-unique sequences on their paternal X chromosome, two of whom were only partially sex-reversed. Jäger et al.31 also describe an XX hermaphrodite with a similar small portion of the Y. In these cases Sry may be affected not only by adjacent DNA sequences in its new chromosomal location, but also by the spread of X-inactivation. There are several precedents for the latter in the mouse; for example females or hermaphrodites frequently develop instead of males when the Sxr fragment is present only on the inactive X chromosome32. There is of course no reason to believe that X-inactivation is involved in expression of the transgene considered here. Nevertheless, when additional transgenic mice are analysed, we would expect to find instances of partial sex reversal due to position effects, where the level of Sry expression is close to a critical threshold. It will be important to understand what this threshold means in the process of testis determination.

Sry acts over a short time to initiate testis development. It must do this through interaction with other genes, some of which will be involved in the regulation of Sry, others of which will be downstream targets of Sry. These other genes must map elsewhere in the genome, because Sry is shown here to be the only Y-linked gene required to bring about male development in mice. Mutations in some of these genes could explain cases of male development in XX individuals lacking SRY30, and XY females where SRY is intact13,14,33,34. Using molecular genetic techniques to work stepwise from Sry, it shouid now be possihie to identify these other genes.

Received 28 March; accepted 10 April 1991.


REFERENCES

1. McLaren, A. Trends Genet 4,153-157 (1988).

2. McLaren, A. Phil. Trans. R. Soc. 322, 3-9 (1988).

3. Jacobs, P. A. & Strong, J A. Nature 183, 302-303 (1959)

4. Ford, C. E. et al., Lancet i 711-713 (1959)

5. Welshons, W. J & Russell, L B. Proc. Natn. Acad. Sci. USA. 45, SB0-566 (1959).

6. Jost A Archs Anat microsc Morph exp 36, 271-315 (1947).

7. Jost, A. et al., Recent Prog Horm. Res 29, 1-41 (1973).

8. Sinclair, A. H. et al. Nature 346, 240-244 (1990).

9. Gubbay, J et al., Nature 346, 245-250 (1990).

10. Lovell-Badge R. H. & Robertson, E. Development 109, 635-646 (1990).

11. Gubbay, J et al., Development 109, 647-653 (1990)

12. Koopman, P. et al., Nature 348, 450-452 (1990).

13. Berta, P. et al., Nature 348 445-450 (1990).

14. Jäger, R. et al., Nature 348, 452-454 (1990).

15. Jost, A. & Magre, S. Phil. Trans. R. Soc. 322, 55-61 (1988).

16. Eicher, E. M. Phil. Trans. R. Soc. 322, 1109-118 (1988).

17. Eicher, E. M. et al., Cyiogenet. Cell Genet. 28, 104-115 (1930).

18. Burgoyne, P. S., Tam, P. P. L. & Evans. E. P. J. Reprod. Fert 68, 387-393 (1983).

19. Mardbn, G. et al., Science 243, 78-80 (1989).

20. Nagamine, C. M. et al., Science 243, 80-83 (1989).

21. Koopman, P. et al., Nature 342, 940-942 (1989).

22. Cattanach, B. M., Pollard, C. E. & Hawkes, S. G. Cytogenetics 10, 318-337 (1971).

23. Burgoyne, P. S., LeVy, E. R & McLaren, A Nature 320,170-172 (1986).

24. Sutcliffe, M. J & Burgoyne. P. S. Development 107, 373-380 (1969).

25. Josso, N. in Mechanisms of Sex Differentiation in Animals and Man (eds Austin, C. R. & Edwards, R. G.) 165-203 (Academic, Lonrbn, 1981).

26. Burgoyne, P. S. et al., Development 102, 443-450 (1988).

27. Palmer, S. J & Burgoyne, P. S. Development 111, 1017-1020 (1991).

28. Grosveld, F. et al., Cell 51, 975-965 (1987).

29. Ellis, N. A. et al., Nature 337, 61-84 (1989).

30. Palmer, M. S. et al., Nature 342, 937-939 (1989).

31. Jäger, R. J et al., Hum. Genet. 85, 666-668 (1990).

32. McLaren, A. & Monk, M. Nature 300, 446-448 (1982).

33. Scherer, G. et al., Hum. Genet. 81, 291-294 (1989).

34. Fredga, K Phil. Trans R. Soc 322, 63-95 (1988)

35. Russell, L B.. in Chemical Mutagens. Principles and Methods For their Detection Vol. 4 (ed. Hollaender, A.) 55-91 (Plenum, New York, London, 1976).

36. Lovell-Badge, R. H., in Teratocarcinomas and Embryonic Stem Stem Cells: A Practical Approach (ed. Robertson, E. J ) 153-182 (IRL, Oxford, 1967).

37. Maniatis, T., Fritsch, E. F. & Sambrook, J., eds., Molecular Cloning (Cold Spring Harbor Laboratory, New York, 1982).

38. Hogan, B., Costanoni, F. & Lacy. E., eds., Manlpulating the Mouse Embryo (Cold Spring Harbor Laboratory, New York, 1986).

39. Ashwonhf A. et al., EMBO J. 9, 1529-l534 (1990).

40. Bishop, C. E. et al., Nature 315, 70-72 (1985).

41. Roberts, C. et al., Proc. Natn. Acad. Sci. USA. 35, 6646-6649 (1988).

42. Wright, W. E., Sassoon, D. A. & Lin, V. K. Cell 56, 507-617 (1989).

ACKNOWLEDGEMENTS. we thank our cdieagues for encouragement and helpful cribcism and in particular D. Jækson and A. Sinclair for access to unpublished results. The help of the photography and histology services at NIMR is gratefully acknowledged.


Return To Molecular Biology Main Page

Return To Course Materials

Return To Biology Dept. Main Page


© Copyright 2003 Department of Biology, Davidson College, Davidson, NC 28035
Send comments, questions, and suggestions to: macampbell@davidson.edu