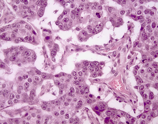
Cross-section #10 - 40X

 

Back to 20X

Back to Array